Ir o contido principal
STG

Desenvolven unha metodoloxía anovadora para a diagnose da inflamación articular

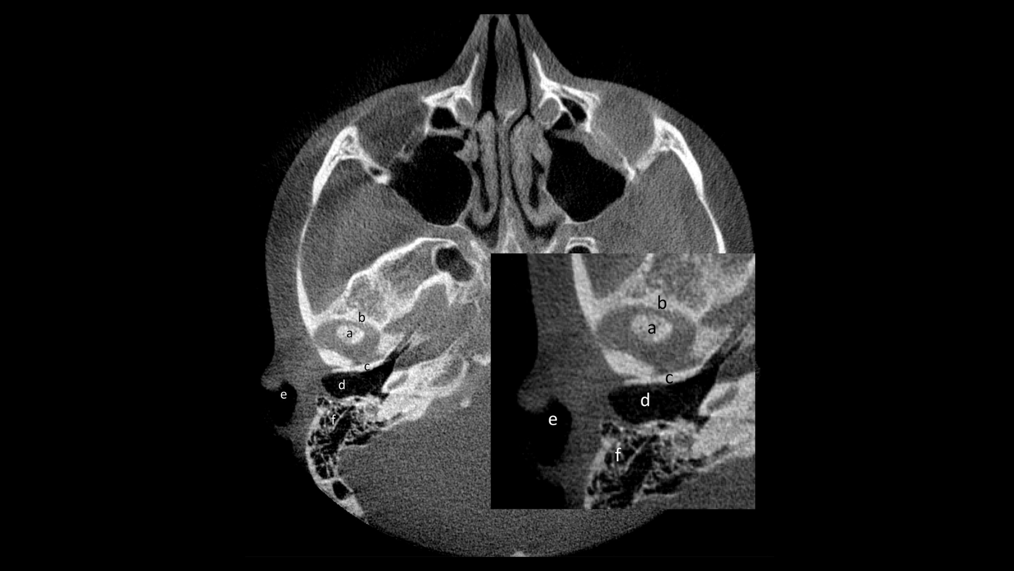
Imaxe ilustrativa da rexión de interese (ROI, polas siglas en inglés) nun corte axial de CBCT. Descrición radiolóxica das partes anatómicas da articulación: (a) cóndilo mandibular da ATM, (b) apófise preglenoidea (óso temporal), (c) apófise postglenoidea (óso temporal). Áreas anatómicas utilizadas para identificar a ATM nun corte axial: (d) trompa de Eustaquio, (e) conduto auditivo externo, (f) apófise mastoides.
Imaxe ilustrativa da rexión de interese (ROI, polas siglas en inglés) nun corte axial de CBCT. Descrición radiolóxica das partes anatómicas da articulación: (a) cóndilo mandibular da ATM, (b) apófise preglenoidea (óso temporal), (c) apófise postglenoidea (óso temporal). Áreas anatómicas utilizadas para identificar a ATM nun corte axial: (d) trompa de Eustaquio, (e) conduto auditivo externo, (f) apófise mastoides.
Persoal investigador da USC, IDIS, e CHUS, en colaboración co de institucións de Dinamarca e Suíza, sérvese de tomografías computerizadas para detectar e medir o engrosamento do líquido sinovial na articulación temporomandibular
Santiago de Compostela

Un equipo interdisciplinar de investigación no que participa a Universidade de Santiago de Compostela en colaboración co Instituto de Investigación Sanitaria de Santiago (IDIS), o Hospital Clínico Universitario de Santiago (CHUS), o Centro Universitario de Odontoloxía de Basilea (Suíza) e a Universidade e o Hospital Universitario de Aarhus (Dinamarca), presenta unha nova técnica para diagnosticar e medir a inflamación articular a través de imaxes volumétricas sen contraste.

Os métodos actuais de seguimento da inflamación nunha única articulación dependen de índices derivados do exame clínico, como a detección do engrosamento sinovial, isto é, o aumento do líquido que cobre as articulacións. Así, para detectalo e proceder, á confirmación clínica de inflamación ou artrite na articulación temporomandibular (ATM, a que une a mandíbula co cranio) cómpre unha imaxe. A Resonancia Magnética (RM) con contraste é na actualidade a modalidade máis empregada para a diagnose da afectación desta articulación, e tamén a que achega máis información, pero a significación dos datos que proporciona e a súa interpretación son aínda motivo de debate. A diagnose da doenza é, pois, un campo aberto e especialmente espiñento de termos en conta que a artrite da ATM ocorre comunmente en pacientes con artrite idiopática xuvenil (AIX) que, se están en idade infantil, poden non referir dor.

Se ben noutras articulacións como os xeonllos se desenvolveron métodos para medir o volume do revestimento sinovial na sinovite crónica a través de RM reforzada con contraste, estes nunca se aplicaran á articulación temporomandibular , cuxa valoración clínica é moi diferente da das outras articulacións. Agora, a colaboración entre persoal investigador da USC, o IDIS, o CHUS e as citadas institucións de Dinamarca e Suíza, permitiu idear un novo método co que calcular volume articular e ofrecer unha medida cuantitativa indirecta do tecido inflamado na ATM. No estudo, que acaba de ser publicado na revista Orthodontics and Craniofacial Research, pártese da accesibilidade e o fácil manexo dunha proba radiográfica como a tomografía computerizada de feixe cónico (CBCT polas súas siglas en inglés), unha técnica de uso habitual nas clínicas dentais, para aproveitala no exame clínico destas pequenas articulacións con artrite. Segundo as autoras e autores, isto permite confirmar a presenza de líquido inflamatorio nesa articulación tan pequena por un aumento do volume. A través deste novo método, que calcula o volume articular a través de demarcacións de áreas, o persoal investigador detectou unha alta diferenza entre doentes con AIX e as persoas sas que conformaron o grupo de control. O volume resultante na ATM de doentes con artrite foi o dobre que na articulación de individuos sans.

No estudo, a estimación do volume articular en ATMs afectadas pola AIX logrouse perfilando o espazo articular inflamado en imaxes de CBCT. Deste xeito, o equipo investigador establece un criterio para a identificación da AIX, definido por un cuadrante onde non se atopa ningunha das persoas con esa doenza. O interese clínico desta delimitación numérica, que expande así o abano de posibilidades de diagnose con ferramentas de imaxe, estriba no feito de que abre a porta a identificar a existencia de artrite na ATM en casos dubidosos cunha técnica de baixo impacto comparada coas ata o de agora existentes.

Acceso aberto e en liña ao estudo

Co título Quantification of temporomandibular joint space in patients with juvenile idiopathic arthritis assessed by cone beam computerized tomography (Cuantificación do espazo da articulación temporomandibular en doentes con artrite idiopática xuvenil valorada por tomografía axial computerizada), o artigo está dispoñible para a consulta en acceso aberto.

María Florinda Otero (investigadora do IDIS), Pablo García Tahoces (do departamento de Electrónica e Computación da USC), Antonio Mera (xefe do servizo de Reumatoloxía do CHUS) Carlalberta Verna (investigadora do Centro Universitario de Odontoloxía de Basilea), Michel Dalstra (da Universidade de Aarhus) e Troels Herlin e Thomas Pedersen (do Hospital Universitario de Aarhus) conforman o equipo investigador deste estudo liderado polo catedrático do departamento de Física Aplicada e investigador do Instituto de Materiais da USC, Jorge Mira.

Os contidos desta páxina actualizáronse o 24.08.2023.