Ir o contido principal
STG

A domesticación altera estruturas cerebrais e diminúe a capacidade para detectar feromonas e semioquímicos

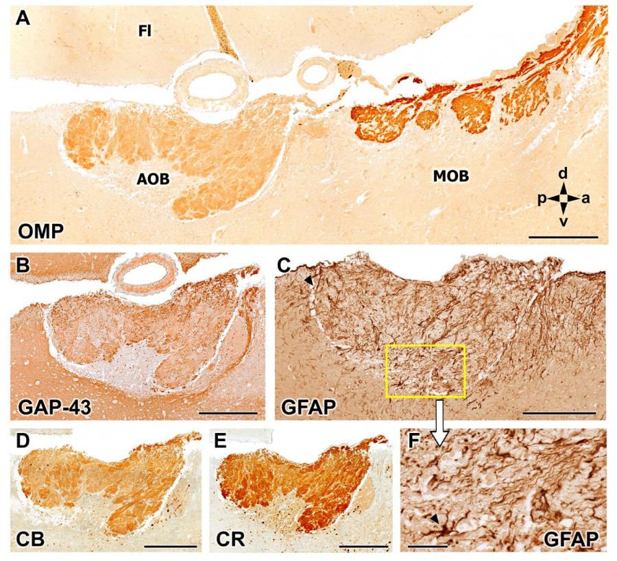
Imaxes do sistema vomeronasal do ualabí
Imaxes do sistema vomeronasal do ualabí
Os investigadores do grupo de Morfoloxía Animal da Facultade de Veterinaria da USC Mateo Vázquez Torres e Irene Ortiz Leal proban en artigos publicados en 'Brain Structure & Function' e 'Annals of Anatomy' que hai dous modelos de receptores sensoriais no sistema vomeronasal dos mamíferos e atribúen á domesticación certos cambios anatómicos e a involución para captar e transmitir sinais químicos ao cerebro
Lugo

A submisión que experimentan os animais ao longo dos procesos de domesticación afecta ás súas estruturas cerebrais, que incluso chegan a presentar variacións anatómicas, e diminúe súa capacidade olfactiva para detectar feromonas e outro tipo de sinais químicos que logo se transmiten ao cerebro e que poden incidir no comportamento social, reprodutivo e mesmo no seu grao de benestar. Estas apreciacións aparecen recollidas nas conclusións dos artigos que veñen de publicar os investigadores do grupo Morfoloxía Animal (Morfan) da Facultade de Veterinaria do Campus de Lugo da USC Mateo Vázquez Torres e Irene Ortiz Leal en ‘Brain Structure & Function’ e ‘Annals of Anatomy’, dúas das revistas de referencia e maior impacto científico no ámbito da anatomía e morfoloxía animal.

As liñas de traballo desenvolvidas por estes dous investigadores do Campus Terra baixo a supervisión do profesor e coordinador do grupo Morfan da USC, Pablo Sánchez Quinteiro, achegan datos novidosos e concluíntes respecto do estudo do sistema vomeronasal, unha estrutura composta polo órgano vomeronasal, localizado na parte inferior do tabique nasal da maioría dos animais terrestres, e o bulbo olfactivo accesorio, que se atopa a carón do cranio na base do etmoides.

As pescudas realizadas neste senso polo veterinario estradense Mateo Vázquez Torres no marco da súa tese de doutoramento e agora recollidas por ‘Brain Structure & Function’ no artigo ‘¿Existe un terceiro modelo intermedio para o procesamento vomeronasal da información? Coñecementos da neuroanatomía dos macrópodos’ permiten descartar a posible existencia no sistema vomeronasal dos mamíferos dun terceiro modelo de receptor neuronal diferente aos dous xa coñecidos e acreditados con anterioridade en diversas especies, tal e como apuntaba hai dez anos un estudo realizado en Australia e cuxos postulados aínda non foran rexeitados cientificamente.

As conclusións achegadas agora por Vázquez Torres están avaladas no minucioso traballo de análise morfolóxica, histolóxica e anatómica desenvolvido con tres exemplares adultos de Ualabí de Bennett cedidos para usos de investigación polo Parque Natural Marcelle (Outeiro de Rei) trala súa morte por causas naturais.

Efectos da domesticación

A análise da evolución do bulbo olfactivo accesorio do raposo e os posibles efectos do proceso de domesticación da configuración morfolóxica e anatómica do cerebro dos cánidos centra a liña de traballo desenvolvida pola tamén investigadora do grupo Morfan da USC Irene Ortiz Leal. As conclusións destas pescudas están recollidas no artigo ‘¿Pode a domesticación dar forma á morfoloxía cerebral dos cánidos? O bulbo olfactivo accesorio do raposo vermello como exemplo’, que vén de publicar en ‘Annals of Anatomy’ esta titulada en Farmacia e Veterinaria nada en Madrid, pero afincada en Lugo.

Este estudo, que se encadra na tese de doutoramento de Ortiz Leal, e que a través do que a propia autora dá continuidade a investigacións previas nas que xa advertira que os cánidos domesticados (mascotas e animais de compañía) tiñan un sistema olfactivo menos desenvolvido que os cánidos salvaxes, conclúe que o bulbo olfactivo accesorio do raposo presenta un maior grao de desenvolvemento morfolóxico que o dos cans.

A autora sinala asemade neste traballo que as diferencias estruturais e morfolóxicas observadas nos bulbos olfactivos entre o can e o raposo son o resultado do proceso de domesticación. Nesta liña, Ortiz Leal sinala a progresiva diminución da complexidade anatómica do sistema olfactivo accesorio que experimentaron os cans ao longo da súa evolución.

Novos horizontes

As achegas realizadas por estes investigadores da Facultade de Veterinaria da USC sitúan o centro universitario lugués á vangarda dos estudos no ámbito da comunicación química, ao tempo que abren o debate sobre a pertinencia de impulsar o desenvolvemento do uso de feromonas máis alá dos actuais usos en mascotas. De feito, a planificación de novas estratexias baseadas neste tipo de comunicación química podería resultar eficaz para cuestións de control de pragas e de reprodución de determinadas especies, así como para a protección doutras en risco de extinción e, sobre todo, en accións orientadas a mellorar o grao de benestar animal, modificación de condutas e mesmo para a redución de estrés, segundo sinalan desde o grupo de investigación e Morfoloxía Animal da USC.

 

O profesor Pablo Sánchez Quinteiro, entre Mateo Vázquez Torres e Irene Ortiz Leal
O profesor Pablo Sánchez Quinteiro, entre Mateo Vázquez Torres e Irene Ortiz Leal
Imaxes do sistema vomeronasal do raposo
Imaxes do sistema vomeronasal do raposo
Os contidos desta páxina actualizáronse o 22.02.2022.